
Kai云体育官网app下载骨外二科是保山市首批骨外科临床重点建设科室。科室起航于1937年,于2009年独立建科。目前已成立关节外科、运动医学、创伤矫形、骨质疏松等多个亚专业组,开展关节置换、关节镜微创诊疗、骨质疏松、骨折创伤及矫形等规范化治疗,不断优化患者围手术期手术无痛病房管理及患者损伤快速康复管理流程,手术微创化率达80%以上,部分手术处于省内先进、市内领先地位。科室年收住患者1400余人次,年门诊量2万余人次,年开展手术1000余例,在满足保山本地患者就医需求外,还辐射怒江、大理、临沧、德宏、西藏南部、缅甸北部等周边地区。

科室有医护人员36人,主任医师4名,副主任医师2名,主治医师7名,住院医师1人,其中硕士研究生3人;副主任护师2名,主管护师7名,护师12名。是保山市医学会运动医学分会常驻科室、北京医学奖励基金手足医学联盟成员单位、昆明医科大学第一附属医院运动伤病暨骨关节疑难疾病诊治联盟成员单位、云南省3D打印临床应用及创新研究中心单位、足踝生物力学监测及大数据研究中心单位。建有云南省第一人民医院陆声团队专家工作站、昆明市中医院常敏团队专家工作站、云南省3D打印数字医学工作站。
科室率先在全市开展人工肩(肘、髋、膝)关节置换、骨关节矫形、全镜下肩袖微创修补术、半月板成型及缝合术、前后交叉韧带重建术等微创治疗,社会效益显著,深得广大患者认同。“长风破浪会有时,直挂云帆济沧海”,科室以维护健康、关爱生命为己任,本着精益求精的专业态度,为广大患者提供安全、精准、优质的服务。


人工关节置换术:适用于关节疾病严重、无法通过保守治疗缓解的患者。该手术通过移除患者的受损关节部位,用人工关节替代受损关节,以恢复关节功能。随着科技不断创新和发展,人工关节置换术符合人体生物力学原理,能够最大程度减轻患者关节疼痛,挽救了中晚期严重的病变关节,使患者能够早期下床,早期改善负重,避免心肺功能衰竭、感染、压疮等临床并发症发生。

人工全髋关节置换术

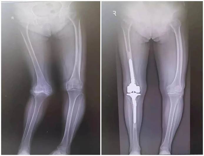
人工全膝关节置换术

关节镜诊疗技术:被誉为“钥匙孔手术”,是骨科手术领域发展的方向。通过关节镜将纤维镜和手术器械引入关节内进行手术,以最小损伤谋取最大手术疗效,具有切口小、创伤小、疤痕小、康复快、并发症少、治愈率高、住院时间短等优点。广泛应用于膝、肩、髋关节等关节疾病的治疗,有效改善关节功能。

脊柱矫形手术

颈椎椎间盘切除椎体次全切除钢板螺钉内固定椎体融合术

微创OLIF手术
创伤及矫形诊疗技术:秉承国际AO、BO先进理念,利用骨科3D打印技术,重建关节稳定,保护软组织及血液供应。通过个性化选择内固定方式,方便患者早期功能锻炼,最大限度减少并发症发生,有效降低病死率及致残率,大大缩短患者住院天数,促进患者肢体功能恢复。

压疮皮瓣转移术

骨质疏松规范化、个体化、系统化诊疗:骨质疏松是一种广泛存在的代谢性骨病,由于患者骨量丢失与降低、骨组织微结构破坏、骨脆性增加,导致患者出现骨折的全身代谢性骨病。据统计,我国60岁以上老年人骨质疏松发生率为36%,其中男性发病率为23%,女性发病率为49%,每年因骨质疏松导致骨折人数达233万,且发病率呈逐年上升趋势。通过对骨质疏松规范化、个体化、系统化治疗,提高患者骨密度,有效减少骨质疏松性骨折发生率,改善患者临床症状。

骨科损伤快速康复管理:包括营养管理、药物管理、心理管理等。科室针对不同骨科损伤类型采取不同的治疗措施,全面评估患者身体状况,通过药物控制疼痛、预防感染,对患者进行心理疏导,以减轻紧张和焦虑情绪。康复期间采取个性化力量训练、肌肉平衡、柔韧度和有氧运动,有效增强肌肉及关节灵活性和稳定性,加速伤口愈合,促进骨细胞增殖和骨密度增加。